ページの本文へ

日立ハイテク
  • ホーム
  • 未知の世界を可視化する電子顕微鏡が、社会の様々な分野で課題解決へのイノベーション創造に貢献

未知の世界を可視化する電子顕微鏡が、社会の様々な分野で課題解決へのイノベーション創造に貢献

脱炭素科学技術の発展生産現場の効率化循環型社会

「学校の理科の授業で、顕微鏡を覗いた瞬間が忘れられない」。そんなワクワクした思い出がある方は、少なくないでしょう。その精度を大幅に向上させ、専門的で高度な利用を可能にしたのが電子顕微鏡です。

電子顕微鏡は光より波長の短い「電子線」を用いることで、光学顕微鏡では見えない微細な構造も可視化します。金属やセラミックから生物組織まで幅広い物質を観察でき、企業の製造現場や研究開発部門、大学などの研究機関や医療機関などになくてはならない存在になっています。

日立ハイテクは、80年以上にわたって電子顕微鏡の研究開発に取り組んできました。その技術とノウハウは、ナノレベルで微細化が進む半導体製造現場、未知のウイルスの解明や新薬製造に取り組むライフサイエンス分野など、さまざまなシーンでイノベーション創出の一翼を担っています。

気候変動をはじめとする地球規模の課題解決策として、カーボンニュートラル(脱炭素)やサーキュラーエコノミー(循環型経済)に資する新素材の開発も喫緊の課題になっています。日立ハイテクの電子顕微鏡は、その実現にも貢献します。

80年以上にわたる研究開発における歴史の中で、さまざまな「世界初」に貢献

私たちの身近に普及している顕微鏡は、光学顕微鏡です。光で対象物を照らし拡大して観察する仕組みですが、光の波長の関係で最小200ナノメートル(1万分の2ミリメートル)程度までしか見ることができません。

※1
1ナノメートル(nm)=1㎜の100万分の1

これに対し電子顕微鏡は、光よりも波長の短い電子線を用いることで、分子や原子レベルの極微な観察を可能にしました。1931(昭和6)年にドイツで考案され、日立製作所は1940年代から開発を始めました。

日立グループの電子顕微鏡の歴史

  • 1941年:試作第一号機「HU-1」(TEM)(※2)を開発
  • 1942年:国産の商用第一号機「HU-2」(TEM)を名古屋帝国大学に納入
  • 1950年代〜60年代:輸出が本格化、世界でシェア拡大
  • 1972年:世界初の電界放出型走査電子顕微鏡(FE-SEM)(※3)を発売
  • 1984年:世界初、半導体の寸法計測に特化した測長SEM(CD-SEM)(※4)を発売
  • 1985年:世界初、鳥取大学がFE-SEMでエイズウイルスの立体像観察に成功
  • 1986年:量子力学の世界で100年以上議論が続いていた「AB効果」を実証
  • 1990年:世界初、NIMS(※5)が超高圧電子顕微鏡で酸素原子の観察に成功
  • 1991年:世界初、DNA二重らせん構造の観察に成功
  • 2011年:小惑星探査機「はやぶさ」が持ち帰った小惑星イトカワの物質を観察
  • 2012年: FE-SEMが「IEEEマイルストーン」(※6)に認定
  • 2024年6月:FE-SEMを含む日立ハイテク保有の3装置が日本顕微鏡学会の「顕微鏡遺産」に認定
※2
TEM:Transmission Electron Microscope
※3
FE-SEM:Field Emission Scanning Electron Microscope
※4
CD-SEM:Critical Dimension Scanning Electron Microscope
※5
NIMS(National Institute for Materials Science ):国立研究開発法人物質・材料研究機構
※6
IEEE(Institute of Electrical and Electronics Engineers):米国に本部を置く世界最大の電子・情報・通信の学会。「IEEEマイルストーン」は、この分野でノーベル賞に匹敵する権威がある。
国産の商用第一号機「HU-2」(1942年)
国産の商用第一号機「HU-2」(1942年)
エイズウイルスの立体像観察(1985年)は、世界的なニュースに。(写真提供:故 田中敬一・鳥取大学名誉教授)
エイズウイルスの立体像観察(1985年)は、
世界的なニュースに。
(写真提供:故 田中敬一・鳥取大学名誉教授)

コアテクノロジー&ソリューション事業統括本部・CTシステム製品本部の主管技師・立花繁明は、日立ハイテクと電子顕微鏡の歴史をこう振り返ります。

「常に性能を進化させることで、さまざまな研究や技術の進化に貢献してきました。DNAの二重らせん構造のSEMによる像をはじめ、古くから議論されてきた事柄について実際にそれらが存在することを証明できた意義も大きいと思います」

原子より微細な世界も観察もできる透過電子顕微鏡(TEM)

電子顕微鏡にはTEM(テム)とSEM(セム)の主に2種類があり、対象物となる試料に電子線を当てる方法が異なります。それぞれの特徴を説明しましょう。

TEM(Transmission Electron Microscope:透過電子顕微鏡)は電子線を試料に照射し、透過した電子を画像化します。

電子線の透過率は試料の構造や部位によって異なり、その違いをとらえる仕組みです。基本的な原理は光学顕微鏡と同じです。電子顕微鏡の歴史はTEMから始まりました。

TEMは電子線を試料に透過させて観察
TEMは電子線を試料に透過させて観察
代表的な機種「HF5000」
代表的な機種「HF5000」

電子顕微鏡で対象を測定または識別できる能力を示す指標が「分解能」で、日立ハイテクのTEM の分解能は世界トップレベルの0.078ナノメートル(78ピコメートル ※7※8)を達成し、静止画のみならず動画での観察も可能です。

※7
1ピコメートル(pm)=0.001nm
※8
TEMの観察手段の一つ「STEM(scanning transmission electron microscope)モード」での数値

物質を構成する最小単位である「原子」一個の直径は、0.1ナノメートル程度です。TEM はこれを凌駕する分解能の高さと、高い元素識別の性能から、ナノテクノロジー分野の新材料開発やライフサイエンス分野の構造解析に欠かせない存在となっています。

TEM で観察をするには、電子線を透過させやすいよう試料を薄片化する必要があります。日立ハイテクは、このプロセスを自動化することで作業にかかる時間や手間を大幅に軽減しました。

DNA二重らせん構造の解明にも貢献した走査電子顕微鏡(SEM)

一方のSEM(Scanning Electron Microscope:走査電子顕微鏡)は、細く集束させた電子線を試料上で二次元走査(スキャン)し、電子線が当たったカ所から発生する信号を検出して画像化します。信号の種類に応じて、微細形状や組成の情報を得ることが可能です。

SEMは試料上に集束させた電子線をスキャン(走査)して観察。
SEMは試料上に集束させた電子線を
スキャン(走査)して観察。
代表的な機種「SU8600」
代表的な機種「SU8600」
世界初の「FE-SEM」(1972年)は「IEEEマイルストーン」や「顕微鏡遺産」に認定
世界初の「FE-SEM」(1972年)は
「IEEEマイルストーン」や「顕微鏡遺産」に認定

SEMと他の分析装置を組み合わせ、信号の種類から試料に含まれる元素を同定(種類を特定)することも可能です。この特性を活かし、半導体の不具合解析などに活用されています。

SEMの分解能はTEM には及ばないものの、小さな物体であれば加工なしにそのまま観察できます。この特徴を活かし、冒頭で紹介したエイズウイルスやDNA二重らせん構造の立体像観察を実現しました。

日立ハイテクのSEMが進化するターニングポイントになったのが「電界放出型SEM(FE-SEM)」の発売(1972年)です。分解能を決める要素の一つが電子線の「輝度(光の強さ・光源の明るさ)」で、FE-SEMはこれを従来の1000倍に高めることで観察能力を飛躍的に向上させました。

電子線を集束させる対物レンズの性能も、分解能を左右します。日立ハイテクのSEMは「インレンズ型」と呼ばれる方式を開発し、収差(ボケや歪み)を最小限に抑えました。

これらのコア技術を備えた日立ハイテクの電子顕微鏡は、さまざまな場面で社会の発展を支えています。

ナノレベルで進化する半導体、寸法計測や不具合の解析に活用

日立ハイテクの電子顕微鏡が活躍する分野の一つが、半導体製造です。半導体デバイスはデジタル社会を担う生成AI(人工知能)やクラウドコンピューティングにも欠かせない製品で、目まぐるしいスピードで高性能化や低消費電力化が進んでいます。

半導体デバイスは集積回路(IC、LSI)とも呼ばれ、シリコンウエハ上にトランジスタや配線からなる電気回路を形成します。高性能化にともない微細化(デバイスの小型化)も進み、今や電子顕微鏡なくして半導体の研究開発・品質管理は成り立たないと言っても過言ではありません。

CTシステム営業本部・グローバル営業企画部主任の池内 昭朗は「一例として最新のスマートフォンでは、1センチ角のチップ上に100億個以上のトランジスタが載っている」として、こう説明します。

「トランジスタの間隔はナノレベルで、デバイス構造の3次元化も進んでいます。デバイスの開発、出来上がった製品の寸法誤差のチェック、不良品が出た場合の原因解析など、さまざまな場面で電子顕微鏡が使われています」

日立ハイテクは1984年、半導体チップの寸法を計測する「測長SEM(CD-SEM)」を発売。これを機に、従来は大学などの研究機関や医療機関での使用がメインだった電子顕微鏡が、大量生産のモノづくりにも進出することになりました。

現在は池内が説明した通り、製造工程の全域に用途を広げています。たとえば微細な不良が発生した場合、広範囲の観察ができるSEMでおおよその位置を確定した後に、より高い分解能を持つTEM を用いてピンポイントで観察するといった使われ方も一般化しています。

先に説明した通り、TEMの観察には電子線が透過するよう試料を薄片化する必要があります。しかし熟練技術者が手作業で行うため、不良解析作業の精度向上やスピードアップのボトルネックとなっていました。

そのソリューションとして、日立ハイテクは「自動マイクロサンプリング」を提供。SEMにFIB (※9)(集束イオンビーム)という加工技術を組み合わせ、試料を数マイクロメートル角の薄片に加工します。薄片化した試料をTEM 観察用の試料台に固定する工程も自動化し、熟練技術者でなくても作業を簡便に行えるようにしました。

※9
FIB:Focused Ion Beam
FIBで試料を加工しTEM観察用の試料台に固定する「マイクロサンプリング」
FIBで試料を加工しTEM観察用の試料台に固定する「マイクロサンプリング」

ライフサイエンスではノーベル賞受賞や患者のQOLに貢献

ライフサイエンスにおいては、主に1)医学・生物学・製薬などの基礎研究、2)病理組織の解析・診断、3)未知のウイルスや感染症の解明という3つの分野で電子顕微鏡が活躍しています。

基礎研究の事例としては、2016年にノーベル生理学・医学賞を受賞した「オートファジー(自食作用)」の解明があります。東京工業大学(現・東京科学大学)の大隈良典・栄誉名誉教授による研究です。

オートファジーとは、細胞が自身を正常に保つため細胞内の物質を分解・再生する働きで、健康や長寿に大きな役割を担うとされています。

その仕組みを解明するための手段として日立ハイテクのTEMが使われました。TEM像では、液胞内に細胞質を取り込む様子やそれが壊れていく様子が観察され、オートファジーの過程解明の一翼を担いました。

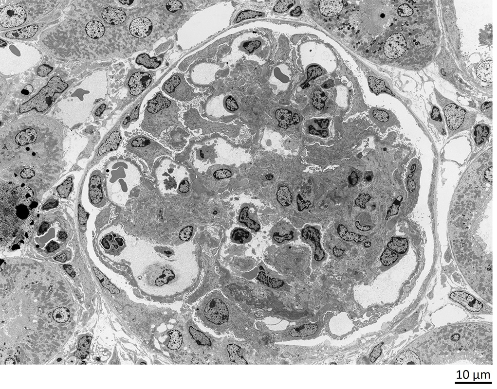
病理組織解析の事例では、腎臓疾患があります。腎臓は構造が複雑で、病状が悪化するまで自覚症状が現れにくく、疾患の分類が難しいといった理由から「わかりにくい病気」とされてきました。

基本的にはTEM観察により腎糸球体への沈着物や基底膜など構造の微細な変化をとらえることで、病気を診断することができます。

TEMによるラットの腎臓の観察例
TEMによるラットの腎臓の観察例

さらに日立ハイテクでは「低真空の卓上SEM」を病理診断へ応用する試みを始めています。卓上SEMは取り扱いが容易であり、疾患の診断、治療方針の決定、予後の判定を迅速に行えるようにすることで、医療現場の負担軽減や患者のQOL(Quality Of Life)向上に貢献できると期待しています。

2020年に起きた新型コロナウイルスのパンデミックは、未知のウイルスや感染症に備えることの重要性を改めて浮き彫りにしました。新たな感染症やバイオテロが発生した場合、病原体の特定・解析に電子顕微鏡が必要です。

薬が効かない耐性菌も、世界的な脅威となっています。日立ハイテクは2021年、フランスの研究機関と連携し、通常は24時間かかる薬剤耐性の判定を1〜2時間で判断する手法を開発。その研究にSEMを用いました。

CTシステム営業本部・グローバル営業企画部主任の和山 真里奈は、さらなるユーザビリティ(使いやすさ)向上が求められるとして、こう説明します。

「ライフサイエンスの現場では、近年、電子顕微鏡を扱える人財が、退職などにより減る傾向にあります。また、貴重な人財や時間を装置の操作でなく、本来集中すべき研究活動に充てたいという要望も受けています。人が全く操作しなくても自動的に、観察しデータを取得してくれる装置が理想的です」

カーボンニュートラルを担う新素材開発や次世代の人財育成にも

日立ハイテクグループはSDGs(持続可能な開発目標)を踏まえて、社会課題の解決に向けて5つのマテリアリティ(重要課題)を掲げています。

社会課題の解決に向けて5つのマテリアリティ(重要課題)

電子顕微鏡は電池の生産現場を支えることで「1)持続可能な地球環境への貢献」、「2)健康で安全・安心な暮らしへの貢献」、「3)科学と産業の持続的発展への貢献」に寄与します。

マテリアリティ1「持続可能な地球環境への貢献」の一例として、リチウムイオン電池の開発や製造にSEMが使われています。同電池はEV(電気自動車)や再生可能エネルギーの利用拡大に欠かせないデバイスで、その需要は今後ますます高まっていきます。

カーボンニュートラルや循環型社会への移行をめざすには、従来の金属やプラスチックに代わる新素材の開発も求められます。その要素技術の一つである「触媒」(化学反応を促進する物質)の観察や分析に、TEMが使われています。

SEMによるリチウムイオン電池の正極材断面(左)と、TEMによるカーボン担体上の白銀触媒(右)。白銀微粒子の大きさは数ナノメートル以下
SEMによるリチウムイオン電池の正極材断面(左)と、
TEMによるカーボン担体上の白金触媒(右)。
白金微粒子の大きさは数ナノメートル以下

マテリアリティ3「科学と産業の持続的発展への貢献」では、柱の一つに次世代人材の育成への貢献を掲げています。その一環として理科教育支援に取り組んでおり「ミニスコープ」という卓上タイプのSEMを学校に貸し出しています。

卓上サイズと簡便な操作を実現した「Miniscope TM4000Ⅲ」が、電子顕微鏡の裾野を拡大
卓上サイズと簡便な操作を実現した「Miniscope TM4000Ⅲ」が、電子顕微鏡の裾野を拡大

CTシステム営業本部・グローバル営業企画部主任の池内 昭朗はこのように、将来を見据えます。

「以前はイラストだった人体図鑑の図解も、現在は電子顕微鏡で撮影した実際の画像が使われています。理科教育支援活動の一環として行っている出前授業で教室を行ったときには、自分の髪の毛を覗いて目を輝かせた子どもがいました。未来を担う世代が科学・化学に興味を持ってもらうきっかけづくりに、電子顕微鏡が役立てるのは嬉しいですね」

日立ハイテクのコア技術の一つである「電子線」を活かした電子顕微鏡は、今後も、「見る・測る・分析する」で、社会課題を解決し持続可能な社会の実現に貢献します。

2024-11-07

最新記事

ランキング

おすすめコンテンツ

ページ先頭へ