Transmission Electron Microscope HT7800 Series
Speed and Reliability, Delivered
The HT7800 series is a 120 kV transmission electron microscope (TEM) that combines high-quality, reproducible data acquisition with improved efficiency for observation work. By automating routine alignments and settings, and featuring an intuitive design that streamlines operations from field-of-view search to image capture, it supports high-quality data acquisition regardless of expertise. It contributes to enhancing productivity in research and inspection tasks across diverse fields, from medical and life science to materials development.
Concept
ACHIEVE MORE, WITH EASE:
Access reliable data effortlessly, no matter the experience level.
SMART WORKFLOW:
Enhanced automation capabilities to streamline and
reduce labor during the TEM data acquisition process
UNLIMITED SCOPE:
Diverse applications spanning a wide
range of fields in science and technology
Features
Simultaneously providing high resolution and high contrast over large fields of view
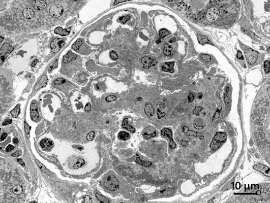
Hitachi's proprietary dual-mode objective lens enables various lens modes for a wide variety of observations. Low magnification provides easy navigation across the entire grid, High-Contrast (HC) observation allows increased contrast over a large field of view, and High-Resolution (HR) observation reduces the focal length for enhanced resolution.
High-contrast observation
Specimen:Rat kidney
Accelerating voltage:80 kV, Magnification:x300
High-resolution observation
Specimen:Asbestos (Crocidolite)
Accelerating voltage:120 kV, Magnification:x400,000
Comfortable operating and remote operation in a broad range of scenarios
The HT7800 series offers a fully integrated workflow in one intuitive guided user interface. Both image navigation, using the wide field-of-view screen camera, and image acquisition, using the high-resolution camera, are carried out in one software platform. Digitalized operations also benefit remote applications, some of which include simultaneously sharing and exchanging captured TEM images at multiple points.
High-sensitivity screen camera allows intuitive operation
Automation capabilities supporting consistent TEM operation
Combining an intuitive workflow with sophisticated automation capabilities allows users of any experience level to achieve high-throughput, high-quality data acquisition. The system features enhanced automation capabilities, including automatic beam alignments to support routine alignment tasks, Image Navigation for automated and efficient image acquisition, and EM Flow Creator*1 for flexible workflow configuration.
*1 Option
Automatic Beam Alignment*2
EM Flow Creator
*2 Auto Z stage adjustment requires the optional 5-axis stage.
Capabilities to support a broad range of analytical techniques
The HT7800 series comes standard with various features such as image-navigation capabilities to automate image acquisition, as well as wide-area automatic image capture, 3D tomography, and more. The system also supports a variety of optional capabilities, including a CLEM system*1, STEM*1, EDS elemental analysis*1 and Cryo observation*1.
*1 Option
Specification
| HT7800II | HT7820 | HT7830 | |
|---|---|---|---|
| Electron gun | W, LaB6 | ||
| Accelerating voltage | 20 - 120 kV (100 V/step variable) | ||
| Resolution (Lattice) | 0.20 nm (Off-axis, 100 kV) |
0.14 nm (Off-axis, 120 kV) |
0.14 nm (Off-axis, 120 kV) 0.19 nm (On-axis, 120 kV) |
| Maximum magnification | x600,000 | x800,000 | x1,000,000 |
| Stage maximum tilt angle | ±70° | ±30° | ±10° |
| Standard features | Automatic beam alignment, Auto focus, Microtrace, Autodrive, Live FFT display, Measurement function, Low dose, API (auto pre-irradiation), Image navigation function, Column with mild baking function, Whole view function, Drift correction function etc. | ||
