~凭借优异的电镜技术,全球首次成功拍摄自噬图~ 捕捉自噬现象的决定性瞬间
东京工业大学荣誉教授大隅良典,荣获2016年诺贝尔生理学与医学奖。马场美铃老师作为本次课题研究的核心人物,深受业界人士的关注。她是如何掌握电子显微镜技术,最终研发出酵母独特的快速冷冻置换固定法?还有,她对电镜观察的执着与热情来源于什么?为了找到这些问题的答案,我特地前往工学院大学八王子校园内的实验室,采访了马场美铃博士。
工学院大学 综合研究所 研究员 马场 美铃 博士
从一开始觉得有趣到不断探索电子显微镜
2016年,大隅良典(东京工业大学荣誉教授)因“在细胞自噬机制方面的发现”获得诺贝尔生理学与医学奖,马场美铃博士也为这一课题研究发挥了至关重要的作用。之所以这么说,是因为马场博士的电子显微镜技术是大隅教授能够在自噬研究方面作出突破的基础。
在日本女子大学上学时,马场博士第一次接触电子显微镜。她学的是家政学专业 家政理学系(理学部前身),大二的时候辅修了大隅正子教授的电子显微镜课。“通过电子显微镜观察动物细胞时,真的很意外,没想到细胞里面这么漂亮,我很开心,也非常感动”
此后,马场博士开始孜孜不倦的阅读小川和郎课题组编著的“电子显微镜图说细胞学”(1974年发行)。这本书上有许多动物、昆虫、微生物、细菌等的电子显微镜图像,清晰呈现了肉眼看不到的微细结构,向世人展示了微观世界的美妙。
由于对电镜的浓烈兴趣,大三时,马场博士到学校实验室当助手,帮忙制备植物细胞切片。“刚开始没什么经验,很难切出一个超薄的切片。所以一般我会先切,然后用电镜看看切的怎么样。观察自己第一次做的切片时,我看到了很多的刀痕,但是能够看到植物细胞壁的内部结构我还是很兴奋”,似乎也正是因为电镜的魅力,才促使她“毅然决然地选择了电子显微镜的研究”。日本女子大学校有电镜实验室,那时,马场博士一边做生物学的研究,一边跑电镜实验室,开启了电镜研究的日常。“当时实验室电镜设备一应俱全,所以可以说我是十分幸运的。除了透射电子显微镜(TEM)、扫描电子显微镜(SEM)外,还有冷冻复型电镜、冷冻切片机。实验室买了新设备,我都会学着用,慢慢学到的东西也越来越多。”
马场博士优异的操作技术,是她日积月累的成果。她锲而不舍,反复练习,才真正掌握了切片、冷冻复型、冷冻切片等技术。而且她还经常参加仪器培训。比如,在报名参加某个培训时,只有两个人,一个就是马场博士。一般的大会只是泛泛而谈,但这种培训会讲的十分详细,镜筒都会拆卸很多次。她熟读本阵良平著作的“医学生物学电子显微镜入门”(1968年发行),以掌握电镜理论。而且,电镜实验室的仪器出现故障时,她会紧跟在维修人员身后,观察他们的操作,不时提出疑问,在实践中不断学习。她也经常参加学术会议,与时俱进,学习新技术。她思维敏捷,洞察力强,能快速抓住要点。在日积月累的学习中,掌握了优异的电镜技术。
成功开发快速冷冻法,可观察酵母的超微结构
酵母独特的快速冷冻置换固定法的研发成功,彰显出马场博士的电镜技术实力。当时,她一直在使用电镜观察真菌微生物--酵母,探究其微细结构。实验中发现:对于菌类细胞微细结构的观察,最大的问题是固定组织标本。观察运动细胞中的细胞器等物质时,必须要固定组织标本才可以正常观察。“市川老师课题组从10多年前就开始使用快速冷冻法对动物细胞标本进行固定,由此拍摄了很多电镜图像。但是,类似酵母这样的真菌细胞会受到细胞壁干扰,即使采用Heuser型金属接触法(动物细胞处理方法),观察效果还是欠佳。而且如果不破坏细胞壁,固定液就无法进入到细胞内,所以我觉得这个实验可能注定要失败了”
就在这个关键节点,以田中健治(当时名古屋大学医学部附属医真菌研究机构教授)为代表的酵母细胞研究会,迫切需要一种快速冷冻方法。由于当时Howard,R.J. 和Aist,J.R. 已成功研发出快速冷冻线状真菌的方法,研究会郑重邀请其中一人,在日本举办了研讨会。田中教授和日本女子大学的研究员(小堀博美)参加了那场研讨会,并收获良多。但是,酵母和线性真菌的细胞壁性质不同,更不好处理,实验进展不太顺利。
“于是我尝试将细胞壁切开,夹成“三明治”。把酵母细胞夹在两个铜板之间,浸入冷却保护剂中,使之快速冷冻,然后切割破坏细胞壁,将组织标本浸入锇酸(OsO4)溶液内,如此反复多次。最终成功研发出冷冻复型方法。核糖体也有细胞壁,当拍摄到细胞内清晰的结构时,我非常兴奋。当时也是别无他法,我才尝试溶解细胞壁,破坏核糖体,提取细胞组织。当然这些都写进论文里了”
1987年,酵母独特的快速冷冻置换固定法别名“夹心法”诞生了。自此之后,电子显微镜可以观察到酵母细胞的整体形貌,但这需要操作人员熟练掌握操作技巧。1990年前后,全世界仅有3个人能够用这种方法成功观察酵母细胞。其中一人,自不必说,当然是经过诸多波折研发出这种新方法的马场博士本人。
自噬研究源于“想要观察”
马场博士一直努力钻研电子显微镜技术,逐渐她开始渴望更深入的研究。于是她辞去日本女子大学的工作,1988年进入工学院大学,专注于科学研究。那之后她经常到大隅良典的驹场实验室做技术交流,当时大隅良典刚升为东京大学教养学部的副教授。大隅教授曾将分离的液泡送至日本女子大学进行冷冻复型处理,随后不久,大隅教授和马场博士二人便开始一起进行科研项目研究。“日积月累,我掌握的技术越来越多,于是我开始不满足于现状,就在这时听说大隅教授建了驹场实验室。刚开始,两个人只是讨论一起写的论文。后来,我会用电子显微镜来验证一些假想,随着研究思路和方向日渐清晰,我觉得实验过程也变得十分有趣,而且令人沉迷。所以,我连歌手荒井由美结婚了都不知道(笑)。我一心扑在研究上,不太关注其他事情”
大隅教授主要研究酵母菌液泡的物质输送。液泡可储存细胞内的有机代谢产物,它和溶酶体一样均含有分解酶,所以推测液泡应该具备分解作用。使用光学显微镜观察饥饿状态的酵母细胞,我们发现液泡内堆积着很多圆形颗粒。
“但是,光学显微镜的分辨率低,很难捕捉到颗粒的内部结构。“想要看看这到底是什么”。因为大隅教授的这句话,开启了自噬机制研究”。大隅教授与桂勋(现国立遗传学研究所所长)成立了共建实验室,实验室有光学显微镜,走廊还放了一台细胞培养装置。据马场博士回忆,如果拿“宇宙时代”比喻当时日本女子大学的设备等级,那驹场实验室就是“石器时代”。“大隅教授一探究竟的想法很强烈。最初大隅教授通过溶解酵母细胞壁,形成原生质体,然后向细胞组织内注入锇酸,采用常用的固定法观察了组织细胞。他当时说道,“即使污染标本也没关系,想用电镜观察看看”。观察时,液泡内一片漆黑。所以只能通过快速冷冻处理组织切片。但是,驹场实验室没有固定时所用的细胞冷冻装置。他拿着自己画好的图纸,让本乡的工厂照图生产。”
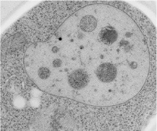
成功拍摄自噬的电镜图
工厂生产的小型细胞冷冻装置虽然没有温控功能,但只要具备熟练的操作技巧和丰富的专业知识,就能成功冷冻细胞。但是,快速冷冻酵母细胞对于马场博士来说也是一道难关。因为饥饿状态的酵母细胞,细胞壁会变厚,液泡体积增大。“液泡和细胞质不同,含水量多,宛如水中漂浮的颗粒。在低温冰冻过程中液泡会迅速形成冰晶,难以切出结构完整的组织切片,而且产生的冰晶会损伤细胞的内膜系统。很难做到细胞冷冻状态刚刚好,我尝试很多次都失败了。而且,切割标本时,刀需要正对标本,制备超薄切片要步步严谨,整个标本制备的过程必须全神贯注。”
历经诸多波折,马场博士终于找到快速冷冻酵母细胞的方法。并于1989年拍摄到自噬现象的电镜图像。“拍到的图片真的是太漂亮了。颗粒是圆形的。从这张图上可以清晰地看到被细胞膜包围的细胞质。当大隅教授看到(运动的颗粒正是)细胞质时,他激动地说道‘用它可以写两篇论文了’”
事实上图像拍摄也蕴含了很多技术含量,比如,冷却速度需在1秒内冷却到10,000°C以下,当然这些鲜为人知。想要获取清晰图像可不是那么轻松的。
马场博士之所以能取得这一辉煌成就,是因为她在工学院大学夜以继日地钻研和努力。实验中使用的仪器就是日立生产的高分辨电镜H-500H。拍摄完图像后还要写总结报告,据悉她有时将近3个月都呆在实验室里。日立生产的电子显微镜不单单对工学院大学,对其他高校的研究也发挥了重要的作用。“日立集团旗下的日制产业(日立高新技术前身)在市谷建立了实验室,我还借用过那里的H-7000或H-7100。很可惜现在不能租借了,而且最难得的是,以前用户可以免费使用一整天。当时拍摄的图像作为抑制性细胞被刊载在获奖论文中”
她这样总结电子显微镜对自噬研究作出的贡献。“毫不夸张的说,细胞质的发现开启了自噬研究的大门。这是第一步。第二步,通过快速冷冻置换固定法观察标本,清晰观察到膜动态,推动了酵母自噬体的研发进程。反复实验证实了液泡内的机制。根据生物化学方法无法观察到自噬体和液泡膜融合的过程,而通过电镜可以清晰捕捉到自噬体进入液泡的瞬间,这是电镜独有的特点。而且图像极其清晰,其他实验室做不到。”
自噬机制是指液泡与自噬体融合形成溶解酶,降解不需要的蛋白质,重新生成生命活动所需的蛋白质。两年后大隅教授将这一发现写入论文,但大隅实验室对于自噬研究的脚步不曾停止。1996年马场博士因“酵母自噬的形态学研究”,被授予博士(理学)学位。
自噬体遭到破坏时。
挑战尚未解开的无数自噬谜题
2016年10月3日大隅良典教授荣获诺贝尔生理学或医学奖。2015年就是日本人荣获这一殊荣,所以马场博士觉得“今年希望渺茫”,甚至她都忘了颁奖这么重要的日子。共同参与自噬项目研究的马场则男,当接到报社记者打来的电话时,十分意外,慌张地打开电视,看到大隅教授正在接受记者采访。
“她发言时还提到我的名字。科研就是这样的,身边的人得奖,所以我做的相关研究也受到了关注,但是我当时并没有那么兴奋,反而十分冷静,感触倒是很多。随后,我接受了记者采访。随着时间的沉淀,我越发感觉到这个奖项的分量。”
自噬研究始于1988年,历经28年才得此殊荣。目前马场博士正在和自噬期刊主编(国外科研学者)合作,共同研究自噬现象。
“有时我们可以捕捉到细胞变化的决定性瞬间。所以,研究人员要保持好奇心,善于发现,这非常重要。自噬体膜会被溶酶体释放的各种酶破坏,因此很难被检测到。当然我们也曾苦恼于看不清膜结构,究其原因也无人知晓。前方的路未知,脚踏实地大胆探索,才能走出一条成功路。我一直秉承着这种工作态度。”
自噬实则是一种细胞自身成分降解和循环的基本过程,据说帕金森病等神经退行性疾病就受自噬效应影响。因此这一发现对于未来医疗发展具有深远的意义。引一句大隅教授的话,“目前我们对自噬现象的了解只有30%。”马场博士也提到:“自噬体膜的起源尚未可知,而且目前我们对于变异株的了解也只是皮毛,所以未来的路任重道远”。为揭开基础领域的面纱,马场博士利用电子显微镜专心研究自噬形态学,日复一日年复一年,从未放弃。
(采访・文=山田一郎)
编者按
马场博士直言相告道,“前方的路未知,脚踏实地大胆探索,才能走出一条成功路”,想必这句话能引起不少读者的共鸣吧。不论是什么行业,那些勇于探索未知的人大抵都怀着同样的气魄,不断尝试开辟一条新路。由于史无前例,毫无借鉴经验参考,所以经常会碰壁,尽管如此他们还是一往无前。这份动力大概源于“热爱”吧。
在旧刊号INTERVIEW Vol.6的影像结尾小泉秀明如是说道。马场博士用事实向我们证明了“只要你满怀热爱,就算周围人反对也一定会坚持到底,以及一个优秀的团队是创新的重要基石”。SI NEWS特辑也迎来了“INTERVIEW”系列第7版。我十分敬佩老师们志存高远和坚持不懈的努力精神,每每看到这些,我都备受鼓舞,充满干劲。SI NEWS今后将继续努力为您传播正能量。由于某些原因本期分两次采访。
(采访:大塚智惠)
