透射电子显微镜HT7800系列
理念
ACHIEVE MORE, WITH EASE:
即使没有使⽤经验,也能更轻松获取可靠数据
SMART WORKFLOW:
通过加强⾃动化功能,赋能TEM数据获取流程,实现降本增效
UNLIMITED SCOPE:
应⽤⼴泛,场景多样
特点
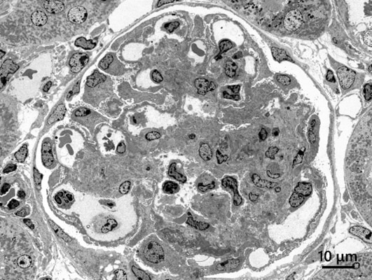
兼具⼤视野⾼对⽐度和⾼分辨率
搭载了⽇⽴⾃主研发的复合物镜,能够在同⼀个物镜上⾯设定⻓焦点和短焦点两种电⼦光学模式。HC模式(⻓焦点物镜)能够进⾏低倍率、宽视野、⾼衬度观察。HR模式(短焦点物镜)适⽤于⾼倍率、⾼分辨率观察。
⾼衬度观察例(HC模式)
样品:大鼠肾脏
加速电压:80 kV, 观察倍率:300倍
⾼分辨率观察例(HR模式)
样品:⽯棉(氯化⽯)
加速电压:120 kV, 观察倍率:400,000倍
操作便捷且⽀持多样化远程操作
从屏幕相机寻找视野,到主相机拍摄图像,整个操作流程均在显⽰器上集中管理,为您提供直观流畅的操作环境。此外,借助设备的数字化功能,可实现多个站点间的实时画⾯共享与意⻅交流,以及教育场景的应⽤等,即使在远程环境下也能发挥卓越性能。
能够实现直观操作的⾼灵敏度屏幕相机
⾃动化功能⽀持稳定的TEM操作
HT7800Ⅱ加强了各类⾃动化功能,如⽀持⽇常调整作业的⾃动束流调整功能,⾃动/⾼效获取图像的Image Navigation功能以及可构建灵活⼯作流的EM Flow Creator*1等。由此,操作稳定性与重现性得以提升,能够获取⾼质量的TEM数据。
*1 选配项
⾃动束流调整功能*2
EM Flow Creator
*2 Auto Z stage adjustment 需要配备五轴⻢达台(选配)
适⽤于多种应⽤的功能
标配⾃动图像拼接功能、3D电⼦束断层扫描及空⼼锥暗场成像功能。此外,⽀持CLEM系统*1、STEM*1、EDS元素分析*1, 及冷冻电镜系统*1等多种选配,能够根据不同的研究⽅向和分析需求进⾏灵活配置,满⾜多样化应⽤场景。
*1 选配项
规格
| HT7800II | HT7820 | HT7830 | |
|---|---|---|---|
| 电子枪 | W, LaB6 | ||
| 加速电压 | 20 - 120 kV (100 V步进可调) | ||
| 分辨率(晶格) | 0.20 nm (Off-axis, 100 kV) |
0.14 nm (Off-axis, 120 kV) |
0.14 nm (Off-axis, 120 kV) 0.19 nm (On-axis, 120 kV) |
| 最大放大倍率 | x600,000 | x800,000 | x1,000,000 |
| 最大倾斜角度 | ±70° | ±30° | ±10° |
| 标配 | Automatic beam alignment, Auto focus, Microtrace, Autodrive, Live FFT display, Measurement function, Low dose, API (auto pre-irradiation), Image navigation function, Column with mild baking function, Whole view function, Drift correction function etc. | ||
关联产品分类
相关链接
相关信息
分析仪器·电子显微镜·原子力显微镜:400-898-1021
* 关注日立科学仪器,了解更多仪器产品信息
生化分析仪:010-65908700
* 关注「日立诊断」微信公众号,了解更多仪器产品信息
