透過電子顕微鏡 HT7800シリーズ
コンセプト
ACHIEVE MORE, WITH EASE:
専門知識がなくても、確かなデータをより簡単に
SMART WORKFLOW:
自動化機能を強化し、TEMデータ取得プロセスを効率化・省人化
UNLIMITED SCOPE:
幅広い分野の様々なシーンで活用
主な特長
広視野⾼コントラスト‧⾼分解能の両⽴
1つの対物レンズで長焦点と短焦点の2つの電子光学モードを設定することが可能な⽇⽴独⾃の複合対物レンズを搭載しています。これにより、低倍率の広視野‧⾼コントラスト観察から⾼分解能観察までを1台の装置でサポートします。
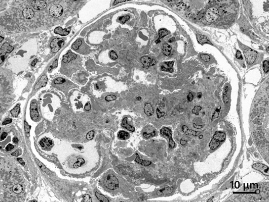
広視野・高コントラスト観察例
試料:ラット腎臓 (染色)
加速電圧:80 kV, 観察倍率:x300
高分解能観察例
試料:アスベスト
加速電圧:120 kV, 観察倍率:x400,000
簡単操作と多彩なリモート活⽤
スクリーンカメラによる視野探しから、メインカメラでの像撮影までの⼀連の操作をモニター上に⼀元化し、直感的でスムーズな操作環境を提供します。さらに、装置のデジタル化により、複数拠点間でのリアルタイム画⾯共有や意⾒交換、遠隔操作*1、教育現場での活⽤など、リモート環境下でも⾼いパフォーマンスを発揮します。
*1 ExTOPE EM (オプション)
直感的な操作が可能な⾼感度スクリーンカメラ
安定したTEM操作をサポートする⾃動化機能
⽇常的な調整作業を⽀援する⾃動ビーム調整機能、画像取得を⾃動化‧効率化するImage Navigation機能、柔軟なワークフロー構築を可能にするEM Flow Creator*2など、各種⾃動化機能を強化しています。これにより、操作の安定性と再現性が向上し、⾼品質なTEMデータの取得が可能になります。
*2 オプション
自動ビーム調整機能*3
EM Flow Creator
*3 Auto Z stage adjustmentは、5軸ステージ(オプション)が必要です。
幅広い用途に対応する各種機能を搭載
自動つなぎ画像作成機能や3Dトモグラフィー、ホロコーン暗視野像観察機能を標準搭載しています。また、CLEMシステム*2、STEM*2、EDS元素分析*2、クライオシステム*2など各種オプションにも対応し、研究目的や解析ニーズに応じて幅広くご活用いただけます。
*2 オプション
主な仕様
| 項目 | 内容 | ||
|---|---|---|---|
| HT7800II | HT7820 | HT7830 | |
| 電子銃 | タングステン または LaB6 | ||
| 加速電圧 | 20 ~120 kV (100 Vステップ可変) | ||
| 分解能(格子) | 0.20 nm (Off-axis, 100 kV) |
0.14 nm (Off-axis, 120 kV) |
0.14 nm (Off-axis, 120 kV) 0.19 nm (On-axis, 120 kV) |
| 最大倍率 | x600,000 | x800,000 | x1,000,000 |
| ステージ最大傾斜角度 | ±70° | ±30° | ±10° |
| 標準搭載機能 | 自動ビーム調整機能、オートフォーカス、マイクロトレース、オートドライブ、ライブFFT表示、計測機能、ロードーズ、API(自動予備照射機能)、イメージナビ機能、鏡体マイルドベーク、グリッド像取得機能、ドリフト補正機能 など | ||
アプリケーションデータ
アプリケーションデータ集では、「ライフサイエンス編」と「マテリアル・半導体編」をご用意しており、それぞれの分野における代表的な測定例やアプリケーションを紹介しています。
- 病理組織 -未分化胚細胞腫-
- 病理組織 -ラット肺胞上皮-
- 病理組織 -肝臓疾患-
- 超微形態 -ラット胃粘膜-
- ネガティブ染色-アデノウィルス-
- クライオトランスファー観察 -リポソーム-
- CLEM観察 -ペルオキシソーム-
-
カーボン材料
- カーボンナノチューブ
-
ソフトマテリアル
- HIPS (High Impact Polystyrene)
- 黒色ゴム
-
触媒
- Hollow-cone暗視野像観察
- その場(In-situ)観察
- 3Dトモグラフィー
-
半導体
- Si単結晶
- FinFET
- 3D NANDフラッシュメモリ
TEM Application data sheet では、詳細な観察条件も含め、TEMによる観察事例を紹介します。
* 閲覧には会員登録が必要です。
弊社製品を使用した社内外の研究論文、技術情報、アプリケーションおよび新製品情報を公開しています。
電子顕微鏡・FIBなどに関するセミナーを紹介します。
電子顕微鏡により忠実に再現した、金属、鉱物、生物などの造形の美をコンピュータのグラフィック技術により、さらに美しく仕上げた写真集です。
年表で見る日立の電子顕微鏡の歩みを紹介します。
臼倉先生に、電子顕微鏡で観察する際のサンプルの前処理に関してさまざまなテクニックを教えていただきました。
日立のSEM、TEMで撮影した私たちの身の回りにいる生物、化粧品、繊維などの極微の世界をミクロ先生が紹介します。
