~肾穿刺标本的新发现~ 借助低真空SEM,探索三维世界
鸟取大学医学部解剖学讲座讲师稻贺SUMIRE,凭借低真空扫描电子显微镜(低真空SEM),研发出了肾穿刺病理组织分析法。稻贺SUMIRE教授和肾脏病理学・肾脏病理诊断专家兼东京肾脏研究所所长-山中宣昭教授、鸟取大学医学部围产期・小儿医学领域教授-冈田晋一齐聚日立高新技术公司东京解决方案实验室,畅谈了以不同于传统透射电镜分析方法的低真空扫描电镜,对光镜样品切片进行三维分析的研发初衷,并对未来的电镜发展作出了展望。
鸟取大学医学部解剖学讲座 讲师 稻贺 SUMIRE
东京肾脏研究所 所长、日本医科大学 名誉教授 山中 宣昭
鸟取大学医学部围产期・小儿医学领域 教授 冈田 晋一
通过低真空SEM检测分析肾穿刺标本
由于肾病早期很难显现主观症状,且肾病种类繁多,难于判别,因此被称为“难确诊”的疾病。而且肾脏的结构和功能极其复杂,所以肾穿刺的临床应用对于病情阶段和病变形态的诊断有着深远的意义。1951年首次临床应用肾活体检法。首先使用穿刺针取部分肾脏组织,通过光学显微镜观察组织切片。然后采用荧光抗体法根据免疫球蛋白、补体的种类和沉淀情况等,判断免疫反应,再通过电子显微镜进一步分析标本,最后将光学显微镜、荧光抗体法和电子显微镜三者分析的结果结合起来,判断病情、提出治疗方案并估计预后等。肾穿刺活检术作为日常检查,这在医疗中具有特殊的临床意义。
电子显微镜分析为肾活检提供了许多新的数据。一般大家都用透射电子显微镜观察标本,样品制备、图像分析需要实验人员具备丰富的知识和技巧,因此往往诊断结果需要几周的时间。
“可能你会想问,这样的速度符合临床医生的要求吗?”,稻贺SUMIRE教授如是说道。所以,为了简单且快速诊断出病情,她利用低真空SEM研发出了肾穿刺病理组织分析法。稻贺教授退休前就职于鸟取大学医学部,从事解剖学课题研究工作,退休后,开始从事低真空的研究。她的科研方向深得SEM界权威人士田中敬一教授的认可。低真空SEM的分辨率虽远不及TEM,但它可以观察油性、含水样品和非导电性样品。而且,操作简单,待测样品无需特殊处理。
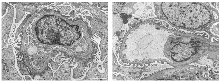
肾穿刺标本的TEM图像
左:Alport综合症、右:薄基底膜肾病
为对比图像的差异性,特为您展示这两种肾病的TEM图像。
使用Platinum-blue分染病理组织
稻贺教授充分发挥低真空SEM的优势。肾穿刺的应用源于染色剂的出现。“我认为Platinum-blue染色剂将成为未来发展的关键。”当时电子染色剂乙酸铀酰较为普遍,但随着国家对于乙酸铀酰的限制越来越严格,人们开始寻找替代品,于是Platinum-blue逐渐被业界人士关注。但是,市售的Platinum-blue染色剂对使用人群有所限制。为了解决这一问题,田中教授研发了Platinum-blue作为低真空SEM信号增强剂,稻贺教授巧妙设计了辅助操作的小配件。这两款产品和TEM染色剂同时投放市场,开始逐步普及。老鼠舌头上有多种组织,故本次实验取老鼠舌头局部用于制备样品切片。后经实验证实,Platinum-blue染色剂可清晰分染几种病理组织,这一发现我们也曾在学会上做过相关报告。
由于SEM观察都是以TEM诊断法为依据进行判断的,所以日立高新技术TEM负责人向她建议道:“老师,那肯定就是肾脏了。”这种方法一眼就能判断出是病理组织。目前,稻贺教授还在探索更有价值的应用方法。“当时,鸟取大学病理系老师为我们提供了很多种典型病理的实验标本,通过使用Platinum-blue成功分染各个组织。”
通过电子显微镜分析样品切片
稻贺教授和肾脏病理诊断著名专家山中宣昭教授二人深刻感受到新方法论的重要性,并就此展开了激烈的讨论。
“将标本置于载玻片上,然后放入样品仓内,由于低真空特性我们可以清晰观察到标本。我认为低真空SEM的应用是电镜历史上的伟大创举。如今,任何人均可通过电子显微镜观察常见标本、光学显微镜标本等。”
PAM染色是一种光学显微镜样品染色法,采用银染法使组织切片着色,将这种方法和Platinum-blue染色法有机地结合起来,可进一步提升分析的准确性。
稻贺教授谈到,“PAM染色法可分染基底膜,使组织结构清晰,这种染色方式和Platinum-blue截然相反,所以我们联用这两种染色法,优势互补,染色结果非常不错”。“而且PAM染色具有悠久的历史,经山中教授课题组的矢岛老师改良,操作现在变得十分简单。PAM染色和Platinum-blue染色的有机结合,对当今时代的肾病诊断具有重要的意义。从同一组织内取两个标本,可通过PAM染色法和Platinum-blue染色法,全面观察组织结构,对病理进行深入诊断。”
鸟取大学医学部的冈田晋一教授和稻贺教授共同参与了肾病理组织分析法的研究。冈田教授从临床医学的角度出发,阐述了低真空SEM的未来应用空间。
“低真空SEM的放大倍率高,如同光学显微镜一般,可以观察到肾穿刺组织的每一个部位,我觉得这是它主要的优势。肾病是在肾脏多处发生相似病变,其中焦肾小球硬化(FSGS)是从局部开始病变,最终导致肾功能衰竭。因此,如果你没有观察到病变部位,就无法判断是否异常。TEM只能观察到组织的一小部分,如果这部分没有异常,诊断结果就显示正常。但这并不代表整个肾脏均无病变。低真空SEM观察范围广,这对于局部病变的肾病诊断具有十分重要的意义。”
在FSGS病理切片中观察到肾小球的LV-SEM像
左(表面):Platinum-blue染色、右(截面):PAM染色
低真空SEM开启了3D世界
随着低真空SEM的应用,分析一个标本就可以获取很全面的信息,分析准确度也得到了进一步提升。而且还可以对大视野范围进行高分辨、高倍率的形态观察以及三维解析。
稻贺教授指出“低真空SEM和传统TEM、光学显微镜主要的区别是:它可以实现立体观察和三维成像。”“Alport综合症是在基底膜形成网状结构,之前我们一直采用TEM观察切片的二维图像来判断是否发生病变,如篮状细胞的观察,现在我们可以使用低真空SEM观察它真实的三维结构。”
Alport综合症为遗传性疾病,其主要特征是肾小球基底膜发生病变。薄基底膜肾病也是由于肾小球基底膜发生病变引起的,Alport综合症患者往往在青壮年时期发展至终末期肾脏病,必须通过透析进行治疗。这两种肾病的鉴定对于患者的治疗和预后等具有十分重要的意义。冈田教授提到,“过去我们利用免疫染色或透射电子显微镜进行肾病鉴定,现如今诊断技术已实现遗传基因检测,尽管如此,还是不能诊断出肾病类型,而低真空SEM可全面获取标本数据,快速且准确诊断肾病”。
山中教授也提及到三维数据的重要性。
“光学显微镜一般可以观察3微米,最厚5微米的样品,而低真空SEM在这个厚度可以实现三维观察,这样一来可以获取更多的数据信息。我们生活在三维空间,二维角度观察标本确实是维度较低。从这个层面来考虑,对同一样品进行三维观察时,可以发现许多二维图像无法判断出来的病症。”
图示为Alport综合症患者的肾小球在低真空SEM下的图像(PAM染色)。
低真空SEM下清晰呈现基底膜的网状结构。
开启一个崭新的阶段
山中教授将低真空SEM应用到细胞诊断学中,以检查肿瘤组织以及胸腔积液和腹水等液体中的癌细胞,实验取得了突破性进展。为了实现低真空SEM在肾穿刺手术及肾病理研究中真正的价值,并且未来还能够应用于肾脏以外的病变组织检查或快速诊断,我们需要确保标本质量,完善基本诊断标准。而且,在分析图像时,还需要具备解读标本病理的诊断能力。
“低真空SEM成像很简单,而观察和分析图像才是最难的。”冈田教授言道,“我第一次使用低真空SEM,实在难以辨认切片结构,还好有稻贺教授在,她逐一为我解释,这是细胞,这是基底膜之类的。低真空SEM的观察方式和光学显微镜、荧光抗体法不同,初次使用简直是一头雾水。因此,我觉得可以建立公共数据库,数据库内存有IgA肾病的病变组织、上皮细胞等基础数据,这样便于用户参照分析。”
为加深对于低真空SEM病理组织分析法和其优势的理解,山中教授强调了病例数据库的重要性。
“不同肾病其肾脏组织形态学的病变不一样,所以尽管通常可观察到的肾脏组织形态学变化较小,但这种变化却仅存在于极少数病例中,所以大致也可以断定肾病类型。我们可以收集很多Alport综合症和薄基底膜肾病的病例,建立公共数据库,更快、更准地诊断病理。所以数据库的普及也十分重要。”稻贺教授也谈到,解读低真空SEM图像本身并没有那么难。她还在培训会上使用DEMO机为大家演示操作,据说只要掌握要点,完全可以轻松解读低真空SEM图像。一个出色的方法论的应用关乎未来的发展趋势。据说方法论的开发已历经10年之久。
“对于一个病理的小白来说,即使去研究肾病的诊断方法,也是毫无头绪。山中教授向大家介绍了如何诊断肾病,由于他的耐心指导,感兴趣的人越来越多,我觉得这才是真正意义上的新开始。未来,数据库将不断壮大,诊断标准、诊断方法和Atlas等也将不断完善。”
