电子显微镜将未知世界可视化,驱动社会各领域的创新发展
“在学校的理科课上,透过显微镜观察的那个瞬间,令我今生难忘”——拥有这般激动回忆的人应该不在少数吧。大幅提升测试精度,实现专业化高端应用的正是电子显微镜。
电子显微镜通过使用比光波长更短的“电子束”,可以将光学显微镜无法观察到的微细结构可视化。从金属陶瓷到生物组织,可观察的物质范围广泛,电子显微镜已成为企业生产工厂、研发部门、大学等研究机构和医疗机构不可或缺的专业检测手段。
日立高新专注电子显微镜领域研发创新八十余年。其技术沉淀在纳米级精密半导体生产工厂、未知病毒的鉴定,新药生产等生命科学领域的众多场景中,都承担着创新的重要使命。
为应对气候变化等全球性课题,开发有助于碳中和(脱碳)和循环经济的新型材料也已成为紧迫课题。日立高新的电子显微镜正在为实现这些目标贡献力量。
八十余载研发里程,缔造多项“世界首创”
我们日常接触的显微镜是光学显微镜。其原理是通过光线照射物体进行放大观察,但由于光波衍射特性,最小只能观察到约200nm(1/10000mm)。
※1 1纳米(nm)=1mm的百万分之一
而电子显微镜利用波长比光更短的电子束,实现了分子乃至原子尺度的微观观察。该技术于1931年在德国提出,日立制作所从1940年代便开始了研发工作。
日立集团电子显微镜的发展史
- 1941年:开发首台原型机“HU-1”(TEM)(※2)
- 1942年:国产首台商用机“HU-2”(TEM),正式交付名古屋帝国大学
- 1950-60年代:正式开启出口,扩大全球市场份额
- 1972年:全球首发场发射扫描电子显微镜(FE-SEM)(※3)
- 1984年:全球首推专用于半导体尺寸测量的测长SEM(CD-SEM)(※4)
- 1985年:鸟取大学全球首创运用FE-SEM成功实现艾滋病病毒立体成像观测
- 1986年:实证量子力学界持续百年争论的“AB效应”
- 1990年:NIMS(※5)使用超高压电子显微镜首次成功观察氧原子
- 1991年:全球首次成功观测DNA双螺旋结构
- 2011年:解析小行星探测器“隼鸟号”带回的丝川小行星物质
- 2012年:FE-SEM获“IEEE里程碑”(※6)认证
- 2024年6月:包含FE-SEM在内的日立高新三款设备获日本显微镜学会“显微镜遗产”认证
※2 TEM:透射电子显微镜
※3 FE-SEM:场发射扫描电子显微镜
※4 CD-SEM:关键尺寸扫描电子显微镜
※5 NIMS(National Institute for Materials Science):国立研究开发法人物质·材料研究机构
※6 IEEE(电气电子工程师学会):总部设于美国的世界最大的电子·信息·通信学会。“IEEE里程碑”是该领域与诺贝尔奖相匹敌的权威认证。
国产首台商用机“HU-2”(1942年)
艾滋病病毒立体图像观察(1985年)引发全球关注
(图片来源:已故田中敬一·鸟取大学名誉教授)
日立高新核心技术与解决方案事业统括本部·CT系统产品本部主管技师立花繁明这样回顾日立电镜的发展历程:
“我们一直以来通过持续提升性能,为各项研究和技术进步做了贡献。DNA双螺旋结构的SEM成像,自古以来就备受争议,因此能够证明其存在性,这个意义就比较重大。”
观察原子级微观世界的透射电子显微镜(TEM)
电子显微镜主要分为TEM和SEM两类,其电子束照射样品的方式不同。分别介绍下它们的特点吧!
TEM(透射电子显微镜)是通过电子束照射样品,穿透的电子成像。
电子束透过率因样品结构和位置不同而存在差异,TEM可以捕捉到这些差异性。基础原理与光学显微镜相同。电子显微镜的历史正是从TEM开始书写的。
通过电子束穿透样品观察的TEM代表型号
代表型号“HF5000”
通过电子显微镜测定或识别目标的能力指标,被叫做“分辨率”,日立高新TEM的分辨率达到世界顶级的0.078 nm(78皮米※7※8),不仅支持静态观察还可进行动态记录。
※7 1皮米(pm)=0.001nm
※8 TEM观察手段之一“STEM(扫描透射电子显微镜)模式”下的数值
物质最小构成单位“原子”的直径约0.1 nm。凭借超越原子直径的分辨率和卓越的元素识别能力,TEM已成为纳米技术领域的新材料开发和生命科学结构解析中不可或缺的检测手段。
TEM观察时,需要将样品加工为电子束可以轻松穿透的超薄切片。日立高新通过自动化操作流程,大幅缩短了操作时间。
助力DNA双螺旋结构解析的扫描电子显微镜(SEM)
SEM(扫描电子显微镜)通过采用聚焦高能电子束对样品表面进行二维光栅扫描,通过探测器捕获电子束与样品相互作用激发的信号,经信号转换系统处理生成表面形貌图像。根据信号类型可以获取微观形貌和成分信息。
SEM通过扫描聚焦电子束观察。
代表型号“SU8600”
SEM与其他分析装置搭配使用,可以通过信号类型鉴定样品中所包含的元素(类型鉴定)。利用这一特性,可以广泛应用到半导体缺陷分析等中。
虽然SEM的分辨率不及TEM,如果是小样品,SEM可以未经加工直接观察。利用这一特征,成功观察到开篇所述的艾滋病病毒和DNA双螺旋立体像。
日立高新SEM发展的转折点是1972年发布的“场发射SEM(FE-SEM)”。日立FE-SEM通过将决定分辨率的电子束“亮度”提升至传统设备的1000倍,实现了观察能力的质的飞跃。
聚焦电子束的物镜性能也会影响分辨率。日立高新开发的“内透镜式”扫描电镜(SEM)成功将像差(模糊与畸变)降到最低。
搭载核心技术的日立电镜在多领域推动着社会进步与发展。
全球首台“FE-SEM”(1972年)
荣获“IEEE里程碑”和“显微镜遗产”认证
纳米级半导体技术被应用于尺寸测量及缺陷分析
日立电子显微镜的重要应用领域之一是半导体制造。半导体器件作为支撑数字社会的基础元件,在生成式人工智能(AI)与云计算等关键领域具有不可替代性,其高性能化与低功耗化进程正以日新月异的速度推进。
半导体器件又称集成电路(IC/LSI),通过在硅晶圆基板上构建由晶体管与互连结构组成的电路系统实现功能集成。随着高性能化带来的微细化(器件小型化),可以说没有电子显微镜就无法实现半导体的研发与品质管理。
CT系统营业本部・全球营业企划部主任池内昭朗先生指出:“最新智能手机上,1cm²芯片集成超百亿晶体管”。
“晶体管间距在纳米级别,并且器件结构日趋三维化。电子显微镜可以被广泛应用到器件开发、成品尺寸误差检测、不良品原因分析等环节。”
日立高新于1984年推出用于半导体芯片尺寸测量的“测长SEM(CD-SEM)”。以此为契机,使原本主要用于大学等研究机构及医疗机构的电子显微镜,进军到了量产的制造领域。
正如池内先生所述,当前应用已扩展至全制造工序。例如发现细微缺陷时,先用SEM大范围观察确定大致位置,再用高分辨透射电镜(TEM)锁定具体位置进行观察,这已成为标准流程。
如前所述,TEM观察需要将样品处理成薄片,使其可以被电子束穿透。然而前处理传统上要依赖熟练技术人员手工操作,制约着分析精度与效率的提升。
为此,日立高新推出“自动微采样”解决方案。通过将聚焦离子束(FIB)加工技术整合至SEM,可以实现数微米级薄片制备。将切薄处理的样品固定到TEM观察样品台亦实现了自动化,大幅降低了技术门槛。
※9 FIB:Focused Ion Beam
通过FIB加工样品并固定至TEM样品台的“微采样”
在生命科学领域荣获诺贝尔奖,为患者生活质量(QOL)提升做出突破性贡献
在生命科学领域,电子显微镜主要用于以下三大方向:1)医学/生物学/制药等的基础研究 2)病理组织的解析/诊断 3)未知病毒与传染病的解析。
作为基础研究的案例,有2016年获诺贝尔生理学・医学奖的“自噬作用(Autophagy)”。该研究由东京工业大学(现东京科学大学)荣誉教授大隅良典完成。
自噬作用是细胞通过分解/再生细胞内物质,以维持自身健康长寿的重要机制。
日立高新的TEM被用于解析这一机制的有效手段。TEM图像可以成功捕捉到液泡吞噬细胞质及其分解过程的动态图像,为机制解析提供关键证据。
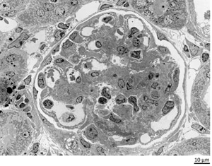
在病理组织解析方面,也有肾脏疾病的案例,由于肾脏结构复杂且症状隐匿,肾病早期很难显现主观症状。加上肾病种类繁多,难于判别等原因,被视为“难确诊”的疾病。
一般情况下,通过透射电镜(TEM)对肾小球基底膜及沉积物的纳米级结构表征,可实现病理诊断的精准判别。
使用TEM观察大鼠肾脏实例
此外,日立高新已经开始尝试将“低真空桌面SEM”应用到病理诊断中。该机型操作简便,可快速完成疾病诊断、治疗方案制定与预后判断,有望减轻医疗负担并提升患者生活质量(QOL)。
2020年的新冠疫情凸显应对未知病毒与感染病的重要性。在新型传染病及生物恐怖主义事件发生时,电子显微镜技术是病原体快速鉴定与分子结构解析的关键技术支撑。
耐药菌引发的治疗失效已成为全球性公共卫生危机。日立高新于2021年与法国科研机构开展跨国联合研发,成功开发出药敏试验(Antimicrobial Susceptibility Testing)的快速判定方法,仅需1-2小时。这项研究便用到了SEM。
CT系统营业本部・全球营业企划部山真里奈主任针对日益增长的用户体验(使用便利)优化需求,做出以下技术性阐述:
“当前生命科学领域面临电子显微镜操作人才因退休潮导致的持续性短缺。业界强烈要求通过技术创新实现人力资源再分配——将高端人才从设备操作中解放,聚焦于核心科研创新。开发具备全自动智能观察系统的设备已成为迫切需求。”
实现碳中和新型材料研发及次世代人才培育
日立高新技术集团基于SDGs(可持续发展目标)设定了五大重点课题。
电子显微镜通过支撑电池生产,在以下领域作出贡献:1)可持续地球环境2)健康安全生活3)科学与产业的持续发展。
课题1:在“可持续地球环境”方面,SEM被用于锂离子电池研发与制造。该电池对EV与可再生能源普及至关重要,未来其需求将愈来愈高。
要实现碳中和及循环型社会的转型目标,亟需开发可替代传统金属与塑料的新型功能材料体系。作为该核心技术的组成要素,透射电子显微镜(TEM)被应用于催化剂(促进化学反应的物质)的微观结构表征与作用机制解析。
SEM观察锂离子电池的正极材料断面(左)与TEM观察碳载体上的铂催化剂(右)。
铂纳米颗粒的粒径优化至数纳米级以下
课题3:在“科学与产业的可持续发展”领域,将次世代人才培育体系建设列为核心支柱之一。日立使用桌面型SEM-TM4000Ⅲ,开展理科教育支援。
实现桌面尺寸与简便操作的“TM4000Ⅲ”,显著降低了电子显微技术的准入门槛
CT系统营业本部・全球营业企划部池内昭朗主任展望道:
“传统人体解剖图谱的图示已实现从手绘示意图向电子显微镜实拍图像的方式升级。在理科教育支援活动,当孩子们通过设备观察自己头发丝的微观结构时,眼中迸发出了强烈的求知光芒。电子显微镜能够成为激发未来一代对科学和化学产生兴趣的契机,这令人倍感欣喜。”
日立电子显微镜以电子束技术为核心技术,今后仍将通过“观察/测量/分析”,解决社会课题,推动可持续社会发展。
