~腎生検標本への新たなアプローチ~
低真空走査電子顕微鏡(低真空SEM)が持つ特長に着目し、新たな腎生検病理組織解析法の開発に至った鳥取大学医学部解剖学講座の稲賀すみれ氏。透過電子顕微鏡(TEM)による従来法とは異なる観点から、低真空SEMに光学顕微鏡用のパラフィン切片を用い、電子顕微鏡レベルの三次元解析を可能とする手法の開発の背景とポイント、将来的な展望について、開発者の稲賀氏、腎臓病理学・腎臓病理診断のエキスパート、東京腎臓研究所所長の山中宣昭氏、そして稲賀氏とともに低真空SEM解析法を実践してきた鳥取大学医学部周産期・小児医学分野准教授、岡田晋一氏にお集まりいただき、日立ハイテクの東京ソリューションラボにてお話をうかがった。
鳥取大学医学部解剖学講座 講師 稲賀 すみれ
東京腎臓研究所 所長、日本医科大学 名誉教授 山中 宣昭
鳥取大学医学部周産期・小児医学分野 准教授 岡田 晋一

症状が悪化するまで自覚症状があらわれにくく、疾患の分類が単純ではないため、「わかりにくい」病気とされてきた腎臓疾患。構造と機能が非常に複雑な臓器でもあるため、生検で疾患の進行度と病変の形態の関連を把握することは大きな意義を持つ。1951年に開発された腎生検法は、細い針で腎臓の組織の一部を採り、光学顕微鏡で観察する。後に免疫グロブリン、補体などの沈着の有無とパターンから免疫反応の情報を得る蛍光抗体法、電子顕微鏡解析が加わり、現在ではこれら3つの情報を総合して、疾患の鑑別や予後の判定、治療方針の決定が行われている。こうした検査が日常のルーティンとして実施されている点で、腎生検は医療の中でも特殊と言える。
電子顕微鏡を用いた解析は、腎生検に多くの新しい情報をもたらしてきた。観察のほとんどは、TEMで行われるが、試料の作成と画像の解析には高度な知識と技術を要し、診断が確定するまで数週間かかることもある。
「それが臨床の先生たちの要望に応えられているのかな?というふうに思ったわけですね」。そう語るのは、簡便性と迅速性をめざして、低真空SEMを用いた腎生検病理組織解析法を開発した稲賀すみれ氏。鳥取大学医学部解剖学教室に所属する稲賀氏は、同大学を定年後、新赴任先でそれまでの「超高真空の高分解能の世界」から一転して低真空の世界に挑んだ、SEMの世界的権威、田中敬一氏の要望で、低真空SEM の生物試料を作製する機会を得る。低真空SEMは、TEMの高分解能には及ばない。だが、油や水を含む試料や非導電性試料でも観察できる。また操作が簡単で、観察試料に特別な処理を必要としない。

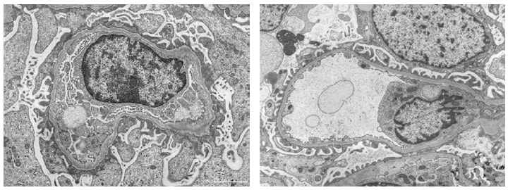
腎生検標本のTEM像
左:Alport 症候群、右:菲薄基底膜病
画像比較のため、ここでは両症例共にTEM像を示しています。
そんな低真空SEMのメリットに着目した稲賀氏。腎生検への応用の出発点には、染色剤の開発があった。「白金ブルーという染色剤が大きなキーワードになるかと思います」。当時、電子染色に汎用されていた酢酸ウラニルの使用規制が強まり、代替として白金ブルーを応用し、注目される。しかし、誰にでも容易に扱える市販の白金ブルーの染色剤はなかった。そこですでに田中氏らによって低真空SEM用のシグナル増強剤として開発されていた白金ブルーを、稲賀氏自ら取り扱いが簡単なキットを考案して特許を取得、TEM用の染色剤と同時に商品化と普及につなげた。白金ブルー染色で、さまざまな組織が存在する、マウスやラットの舌から作製したパラフィン切片や、いくつかの病理組織がきれいに染め分けられることも確認でき、学会などで発表した。
さらに有益な応用法を模索していた稲賀氏に、「先生、それなら絶対腎臓ですよ」と日立ハイテクのTEM担当者がアドバイスする。SEMで観察する場合であっても、すでにTEMの診断法が確立している腎臓が適しているという判断だった。「そのときに鳥取大学の病理の先生が標本を提供してくださったのですが、それぞれ非常に典型的な症例のものを提供してくださったので、白金ブルーできちんと染め分けができたんです」。

低真空SEMによる腎生検病理組織解析法と出会った腎臓病理学・腎臓病理診断の第一人者、東京腎臓研究所所長の山中宣昭氏は、新たな方法論としての重要性を直感し、その検討を重ねてきた。
「低真空の特性を利用して、スライドガラスの上に載った標本を電子顕微鏡で試料室に入れて見るという、それは素晴らしいアイデアだと思うんですね。それができることによって、日常的な普通の標本、光学顕微鏡の標本という誰でも普段見ているものを、そのまま電子顕微鏡のレベルで観察できる」。
さらに、腎生検では光学顕微鏡用試料の染色法として定着している、銀で組織を染めるPAM染色と、白金ブルー染色との組み合わせが、この解析法の有効性をさらに高める。
「PAM染色が特に基底膜という腎臓の組織の中の一部分を非常にきれいに染め出すんですね。それが実は白金ブルーとまったく逆の染まり方をするということに気がつきまして、お互いに補い合うような観察がこの2つの染色でできるんです」と稲賀氏。「PAM染色は歴史のある染色法ですし、特に山中先生が所属していらした教室の矢島先生がPAM染色を日本で改良されて、とても使いやすい方法に今はなっているんです。PAM染色と白金ブルー染色の両方がうまく調和して、今、腎病理の診断に応用できるメリットが非常に大きいんですね。片方で見えないものがもう片方で見えるということで、2枚の標本を同じ組織から採ってあれば両方の観察ができますので、より深い診断に繋がると思うんです」。
稲賀氏と共同で腎病理組織解析の研究を進めてきた鳥取大学医学部の岡田晋一氏は、臨床医の視点から、低真空SEMの将来的な応用可能性についてこう述べる。
「低真空SEMは高倍率で、なおかつ腎生検の組織全部を隅から隅まで光学顕微鏡のように見えるので、そこは大きいと思います。つまり、腎臓の病気というのは、腎臓の中でだいたい一様に病変が起こっていくことが多いのですが、中には巣状糸球体硬化症(FSGS)のように一部分から始まって、腎臓全部に波及をすることもあります。そうすると、その病変の部分を見つけて、それを見ないと異常は分からないですよね。だからTEMというのは、たまたまそこの小さい組織に異常がなければ、とりあえず診断上は異常がない。けれども、本当に腎臓全部に異常がないかどうかは分からない。低真空SEMは広範囲で見ることができる点で、腎臓の領域に関しても一部分から病変が始まるタイプに関してはかなり有用だと思います」。

FSGSと診断された切片で見られた糸球体のLVSEM像
左(表面):白金ブルー染色、右(断面):PAM 染色

低真空SEMの応用によって、ひとつの標本から得られる情報は広がり、その質の高さが期待できる。広範囲の形態学的な異常が高解像度・高倍率、かつ三次元で解析可能となる。
「やはり従来のTEMや光学顕微鏡と違う特長は、立体的に見える、三次元画像が得られるというところがとても大きい」と稲賀氏は強調する。「Alport(アルポート)症候群という基底膜に編み目状の構造が出てくるという症例も、今まではTEMですと、切片の二次元の像で判断していたわけですよね。それまでもTEMの二次元像でもバスケット状の構造というふうに表現はされているんですけども、三次元像で初めてそれがバスケットだと本当に理解できるんですね」。
Alport症候群は、遺伝性の進行性疾患で、糸球体基底膜に特徴的な変化が生じる。同様の糸球体基底膜の異常は、菲薄基底膜病でも見られるが、Alport症候群は若年で末期腎不全へ進行することがあり、透析の対象となるため、両者の鑑別が必要となる。「鑑別する方法は、従来の免疫染色や透過型電子顕微鏡、今は遺伝子検査もされているんですけど、それではわからないところもあるので、低真空SEMが診断に役立つ可能性が十分にあります」と岡田氏は言う。
山中氏も三次元情報を取得できる重要性に言及する。
「光学顕微鏡の標本を見る場合は、やはり3ミクロン、厚い場合ですと5ミクロンの厚さがあって、それを見ているわけですが、低真空SEMで見ると、その厚さの範囲だけ三次元像が見えるわけですね。そうすると今まで見えなかったものが確認できるわけです。我々の世界は三次元ですから、二次元で見ているというのは次元が低いわけですね。そういう意味でも、実際に今までいろいろ観察してきて、立体像を見ると、像が違うということを非常に感じる症例というのがありますね」。

Alport症候群の糸球体の低真空SEM像(PAM染色)。
基底膜の網目構造が明瞭に認められる。
山中氏はすでに腫瘍組織診断や、胸水や腹水といった液体中のガン細胞を調べる細胞診への低真空SEMの応用を検討し、手応えのある結果を得ている。低真空SEMが、腎生検診断や腎病理研究において真価を発揮し、将来的に腎臓以外の組織や迅速診断が求められる症例に活用されるためには、標本のクオリティの確保や、基本的な診断の基準の整備が必要となる。また、画像を解析する側には、標本を読み解く病理診断力が求められる。
「低真空SEMは、像を出すのは簡単です。ただそれを見て、考えるのが結構難しいんですね」と岡田氏。「私の場合、初めてやったときに稲賀先生が一緒におられて、これはこの細胞で、これが基底膜であるとか、マンツーマンで教えていただいたのでできたんですけど、たぶん初めて見ても何が映っているのかわからない。今までの光学顕微鏡や蛍光抗体法とはちょっと違う見え方をするので、何か像が見えるけれども、これが何かというのは全然わからないと思うんですね。だからそういう意味でもデータベースを公開して、IgA腎症ではこういうふうになって、これが上皮細胞だとか、そういうことが分かれば絶対に役に立つと思います」。
低真空SEM病理組織解析法とその利点への理解を広めるためにも、さまざまな症例を集めたデータベースの必要性を山中氏はアピールしてきた。
「腎臓の疾患も基本的な分類というのはある範囲内では決まっていますから、この病気ではこれだけの変化の範囲が見られるといっても、そういうことは少ない症例で見ていたのでは、その例だけかもしれないという可能性は常にあるわけですね。ですから、Alport症候群と菲薄基底膜病の場合も、そういう症例をたくさん集めて、ある範囲内で診断ができるというデータベースを確立しなければいけない。そのためには、やはりできるだけ普及しないとだめですよね」。
稲賀氏によれば、低真空SEM像の読解そのものは、それほど難解ではない。デモ機を用いた講習会などで、ポイントをマスターすれば読み解くことができるという。優れた方法論としての展開は今後にかかっている。開発からおよそ10年を経て、稲賀氏は語る。
「まったく病理の門外漢の素人が一番難しい腎病理の診断をする方法を考えてやっていても、埒が明かないわけですね。それを山中先生が腎病理の診断法の指導をしながら、この方法をあちらこちらで紹介してくださっているお陰で、関心を持つ人が増えてきていますので、これからが本当の意味でのスタートだと思うんですね。だからデータができるだけたくさん集まるようになって、本当にちゃんとした診断基準や診断法、あるいはアトラスなど、そういうものも将来はきちんと出せるようになるといいなと思います」。

会員制サイトS.I.navi内に開設しています。閲覧には会員登録(無料)が必要です。
さらに表示