マイクロ粘弾性顕微鏡(VE-AFM:Visco-Elasticity Atomic Force Microscopy)
原理: 試料を縦振動させた際のカンチレバーのたわみ振動から粘弾性分布を画像化します。
スキャナ側から試料へ加えた縦振動の入力信号が、探針先端と試料の粘弾性的な作用により、出力信号としてカンチレバーのたわみ振動と試料の変形振動とに分配されます。試料が硬ければ、試料変形が少ない分、カンチレバー振動が大きくなります。試料が軟らかければ、試料変形振動が誘起され、カンチレバー振動は小さくなります。
【VE-AFMの用途】
- 高分子、金属材料、無機材料などの表面の粘弾性マッピング
- 温度スウィープにおける表面転移計測
マイクロ粘弾性顕微鏡(VE-AFM:Visco-Elasticity Atomic Force Microscopy)の適用例
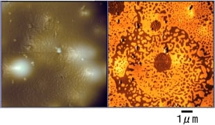
ポリスチレン上のシリコン系油膜の粘弾性分布測定
形状像 粘弾性像
<参考資料>
塗膜が分散したポリスチレンフィルムの粘弾性分布測定
形状像 粘弾性像
<参考資料>
関連情報
走査型プローブ顕微鏡(SPM/AFM)に関する測定手法、測定例の一部を、会員制情報検索サイト「S.I. navi」でご提供しています。
リストの一部はこちらからご覧いただけます。
「S.I.navi」は、日立ハイテク取扱分析装置に関する会員制サイトです。
お客さまの知りたいこと、日々の業務に役立つ情報を「S.I.navi」がサポートします。
日立電子顕微鏡をご使用されているお客さまは、「S.I.navi」上で製品情報をご登録いただくと、日立電子顕微鏡ユーザー限定サイト「Semevolution(セメボリューション)」にて、さらに多くの関連情報をご覧いただけます。
